今日の午後は手術です。(今日は両眼手術の人が少なめでした。)
・抜糸 1件(数年前の斜視の手術の糸が出てきてしまった)
・白内障手術 3件
・眼内レンズ縫着術 1件
・網膜硝子体手術 3件(糖尿病網膜症2件、網膜中心静脈分枝閉塞症1件)
以上は、みなさん無事に終わりました。
ただし、残念ながら・・・。
95歳の女性で、両眼とも高度の白内障が原因で、ほとんど見えていない患者様なのですが、認知症の問題で、手術の準備・消毒などの段階で中断に・・・。
手術でよく見えるようになりそうなのですが。
はじめから、ご家族の方とは相談してあって、認知で手術ができないかもしれないけど、もしできたら、とってもよろこんでもらえる!、もしかしたらできるかも!と、楽しみにしていたのですが、残念です。
視力の回復で認知症が改善するとの報告も多く、どうにかしてあげたいのですが、95歳だと全身麻酔をかけることも難しいですし。局所麻酔では暴れてしまうと危険ですし。困りました・・・。
さて、今日は白内障手術の特殊例のお話でも。
眼内レンズ縫着術(がんないれんずほうちゃくじゅつ)
以前のブログ(2011.09.05 Monday)で、記載しましたが、白内障の手術はレンズをまるまる交換するわけではなく、レンズ(水晶体)を覆っている袋を残して、中の濁りを取り出し、袋のなかに新しい眼内レンズを置いてくる。という手術が一般的に行われています。
ただし、外傷や生まれつきなどで袋の状態が悪かったり、手術で失敗して袋を破いてしまったり(破嚢)、目に合わないレンズを交換する場合の一部などで、レンズを挿入するための袋が使用できない場合があります。
このような場合には、レンズを固定する支えがないので、人工的に手術で、目の中にレンズを縫いつける。という作業が必要になります。
今日の手術は、
以前に紹介した、水晶体落下で紹介、緊急の硝子体手術で、水晶体をまるまる除去してしまった77歳女性の患者様です。(⇒2011.08.26 Fridayのブログ)
外傷なのか、もともとなのかは詳細不明ですが、当院に来た時にはレンズは袋ごとズレてしまい、目の奥の方まで器械を入れて、まるまる切除をしています。
レンズが入っていないと、極度の遠視となってしまうため、牛乳瓶の底みたいな厚いメガネをかけないと、ピントが合いません。
前の手術から2ヶ月がたち、だいぶキズ口も安定してきたために、今日はレンズを縫いつけることにしました!
以前から、この術式をどうやっているのか?と、知り合いの先生、数名から質問を受けていたので、このブログで書いてみます。(ちょっと専門的にな部分は茶色にしてみます。)
まずは、消毒をして、テノン嚢下注射と呼ばれる、目の後方への注射麻酔を行います。
次に白目を覆っている結膜という組織に少し切り込みを入れます。
切り込みは、黒目の少し左下と、対角線上の右上に2か所作ります。
結膜を切ると、強膜と呼ばれる白い、硬い膜が出てきますが、この部位にも切れ込みを入れます。ここは、あとでレンズを縫う糸の結び目が隠れるようにするためのものです。
(クレセントで、縫着予定の部位の少しだけ上方に、強膜に水平にポケットを作ります。予定手術での縫着の場合には眼球への穿孔前にポケットを作ると、眼圧が保たれていて、やりやすいです。穿孔してからだと、低眼圧でベコベコになってしまうので。前もって準備がきちんとできてさえいれば、前房メインテナーは不要です。メインテナーもたまに使いますが、だいたい少しデスメにシワがよって、術後数日視力が下がってしまいます。)
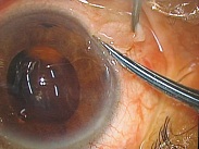
次に、実際にレンズを入れるキズ口を作ります。
この患者様は、黒目(角膜)の上方、写真では下側にキズ口を作りました。
(4mmで三面切開)
写真で黒目の下のキズ口(黄緑)から、新しいレンズに縛り付けてある針と糸をいれ、初めに作った黒目右上のキズ口の近く(水色)から針を出し、縫いつけます。
同じように、黒目の左下のキズ口にも針を通して縫いつけます。
(正確に対角線上、輪部2mmを目指すのに、カウヒッチ法でやっています。迎えは25Gか27Gを使います。)
すると、こんな感じ。
赤やじるしの先の黄色が眼内レンズなのですが、糸も細くて見えないし、ちょっと分かりにくいですかね。イラストで描いてみますと、

黄色がレンズです。丸いレンズには支えになる部分として、水色の足がついているのですが、この足の部分に糸が縛り付けてあります。この糸の先には針がついていて、黒目の下のキズ口から針を目の中に入れて、白目に作ったポケット(黒線)の近くから、針を目の外に出します。
アクリル製のレンズは、やわらかく、2つに折りたたむ事が出来るので、丸いレンズの部分は直系が6.5mmあるのですが、2つに折りたたむと4mmのキズから目の中に入れることができます。
最終的に、白目から出ていた針と糸を、しっかりと結び付けて(青矢印)、結び目をはじめに作った白目のポケットの中に隠します。(隠さないと、ゴロゴロ痛みの原因になってしまいますので。)

右上の部位でも同じように、白目に糸をしっかりと縫いつけます。
最後に、結膜を覆いかぶせて、熱凝固で、くっつけたらお終いです。
キレイに出来ました。
質問を受けていた、S先生やK先生に。
以前は、MAなどのレンズをインジェクターで挿入後に、ハプティクスを一度出して、糸を縛って・・・。という方法が多かったのですが、確かに2.8とか3mmで、キズが小さいのですが、糸を縛り付けたり、眼内でレンズを回したりが煩雑で、手術時間が30分程度必要でした。
2つ折りの4mmでと思えば、入室前に、糸をIOLに縛り付けるところまでやっておくことで、手術自体の時間、眼球に創がある時間は上記の半分以下で出来るので、感染症などのリスクは大幅に減りますし、操作も簡単で、レンズを回したりで、稀に少量の虹彩出血などがあるかと思いますが、そういった心配もありません。虹彩触ると痛いようですし。
しばらくは、僕はこの術式でいこうかと思っています。
糸はp-c9、レンズはS先生に教えて頂いたのですが、YA-65BBがハプティクスにふくらみがあって、糸がズレたり抜けたりする心配がなくて、いいなと思っています。

レンズへの縛り方は、こんな感じです。p-c9は糸がループ状になっていますが、
?まず普通に一回縛って、しまいます。なるべくキツメに。
?新しくできたループ側をハサミで切ります。
??切ってできた2本の間に、ハプティクスを入れて、縛ります。?でキツク縛っても、やはり緩む事があるので、縛るときに、レンズ側にできた糸のループの間に縫合するほうの断端を1?2回通すと安心です。

